Purdue Today. 150 Years of Giant Leaps

September 20, 2019

Current web edition

Faculty and Staff News

Implementation planning for D2L Brightspace is
underway; here’s what you need to know now

Plans are in development to help faculty move courses from Blackboard Learn to Brightspace, Purdue’s new learning management system, by the start of the fall 2020 semester.

Things to Know

Provost announces search for secretary of faculties

Things to Do

Workshop to discuss screening, treatment for prostate cancer
Active Learning Community of Practice focusing on diversity and inclusion
Office of Engagement seeking Jefferson Awards nominations
Nominations being accepted for Leadership In Action Award
Nominations sought for Violet Haas Award

In the Spotlight

Shelley MacDermid Wadsworth

Giant Leaps Research: Shelley MacDermid Wadsworth

Warriors hate war perhaps more than anybody else. They have to see it up close and very personal. And what they see can affect their mental health, ranging from depression and anxiety to PTSD, or post-traumatic stress disorder, to suicidal thoughts and the potential to committing suicide. Shelley MacDermid Wadsworth, professor of human development and family studies and director of the Military Family Research Institute at Purdue, studies risk and resilience in military families.

Additional News

Service dogs

Can service dogs help children with autism? This study will find out.

As the number of children being diagnosed with autism spectrum disorder continues to rise, so does the demand for a popular treatment – service dogs. While the number of service dogs being provided for children with autism is growing, there is a lack of scientific evidence on whether, or how, these dogs help. In addition, minimal research has explored how these dogs may help parents – who often face significant stress and challenges of their own.

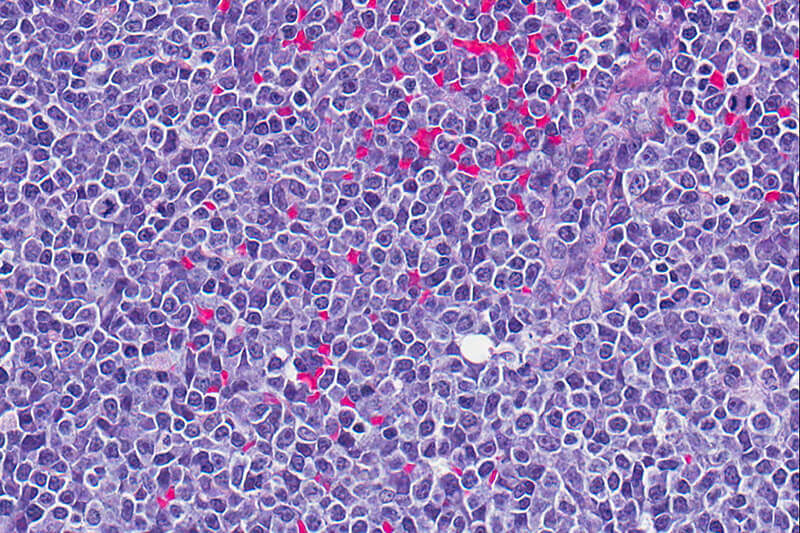
Tissue

A case for personalized medicine in the search for answers about cancer

Every three minutes, two people in the U.S. die from cancer. Some of the deaths related to the disease arise from the fact that the same drug that helps one person can be detrimental to another with the same type of cancer. “This is one of the strong cases for personalized medicine,” says Professor Nadia Atallah Lanman, who manages the Purdue University Collaborative Core for Cancer Bioinformatics.

Research

New Purdue AI tech to track treatment of chronic stomach disease
Purdue collaborating with Indiana research universities and industry to solve critical measurement science challenges

General

Agricultural production one of Indiana's most hazardous occupations

Teaching and Learning

NSF supports Purdue team developing online manufacturing education

Events

Video game creator to speak at Purdue

Purdue alumnus Scott Phillips will share his experiences in the video gaming industry during a Giant Leaps Series event on Tuesday (Sept. 24). The event, "Creating Assassin’s Creed Odyssey," is free and open to the public.

Scott Phillips
This Week's Events
Next Four Weeks
Don't Miss It!
Lectures and Guest Speakers

Purdue in the News

Here is a sampling of recent news reports about Purdue from media across the nation and the world.

EdNC: How one school is building a STEM pipeline for minority students with a direct pathway to college
Inside INdiana Business: Purdue startup awarded $150K
150 years of giant leaps
Learn More
Purdue Today is the official Purdue University communication for faculty and staff