Newsroom Search Newsroom home Newsroom Archive
Purdue News

RELATED INFO
* School of Veterinary Medicine

November 15, 2007

Purdue research finds similarities in dog, human breast cancer pre-malignant lesions

WEST LAFAYETTE, Ind. -
Sulma Mohammed
Download photo
caption below

Pre-malignant mammary lesions in dogs and humans display many of the same characteristics, a discovery that could lead to better understanding of breast cancer progression and prevention for people and pets, said a Purdue University scientist from the School of Veterinary Medicine.

A group of scientists including Sulma Mohammed have found similarities between benign lesions that are considered to carry risk for developing breast cancer in both canines and humans. Breast cancer is the second leading cause of cancer deaths in women.

"Dogs develop these lesions spontaneously in contrast to other available models and are exposed to the same environmental risk factors as humans," said Mohammed, an associate professor in comparative pathobiology. "These shared features make the dog an ideal model to compare the breast lesions that will progress to cancer and those that will regress.  Such a model will facilitate customized treatment and prevention strategies." 

Due to the success of mammographic screening and awareness by women, abnormal cell growth within breast tissues is frequently diagnosed, Mohammed said. These intraepithelial lesions are recognized risk factors for invasive cancer, and their presence affects patient management decisions.

Images of a mammary lesion
Download photo
caption below

"Once a lesion is identified, it can be treated with hormonal therapy if it is estrogen receptor (ER)-positive, but for low-risk and ER-negative lesions, we can't do anything but wait and watch to see if it grows into a tumor," Mohammed said. "With a dog model, we could study these lesions and test different prevention modalities before it becomes a cancer."

The research appears in this month's issue of the Journal of Cancer Epidemiology, Biomarkers, and Prevention. Mohammed's co-authors include Sunil Badve from Indiana University; Margaret (Peg) Miller, Jun Xie and Elisabetta Antuofermo from Purdue; and Salvatore Pirino from the Sassari University School of Veterinary Medicine in Sardinia, Italy.

The scientists studied 212 tissue biopsies from 200 female dogs with tumors that were retrieved from the archives of the Purdue Animal Disease Diagnostic Laboratory and the Veterinary Teaching Hospital as well as from the Institute of General Pathology and Anatomical Pathology at Sassari University.

The canine slides were compared to human specimens collected from the Department of Pathology at the IU School of Medicine. Mohammed said the focus of the study was not on the tumor but on the precancerous, or preneoplasia, lesions in tissue around the tumor.

"We found that preneoplasia lesions are virtually identical, microscopically, in dogs and women," she said. "In fact, many of the slides were so similar it was often difficult to determine if they were from dogs or people without looking at the label."

In particular, Mohammed said, they wanted to examine each type of mammary intraepithelial lesion for estrogen receptors expression. Recently, scientists have concluded that breast cancer is not a single disease, but a group of malignancies.

"Establishing an animal model is paramount for testing new treatment and prevention modalities, especially for lesions that express none of the targeted receptors, such as triple-negative types, before human clinical trials," Mohammed said.

The team determined that because of the frequency of lesions, their association with spontaneous mammary cancer and the resemblance to human lesions, dogs may be the ideal model to study human breast cancer progression as well as prevention and treatment. Mohammed emphasized that the research results would benefit both dogs and humans.

According to the American Cancer Society, 62,030 cases of precancerous malignant lesions and 178,480 new cases of breast cancer will be diagnosed. There will be 70,880 women who die from breast cancer this year.

 Much of the difficulty in research on dogs with breast cancer is that the data is outdated, Mohammed said. According to a 1969 study of female dogs over 4 years old that were not spayed, one out of four were expected to develop mammary neoplasia, or abnormal cell growth that may progress to cancer. Thirty percent to 50 percent of canine mammary tumors were malignant, and 50 percent to 75 percent of these recurred or metastasized within one to two years. 

"Women have become more aware and conscientious of conducting their own breast self-exams, and pet owners also are more aware to check their animals," Mohammed said. "With better diagnostic tools and early detection, we are able to give dogs the same treatment that we give humans."

Mohammed said the dogs provide a more realistic comparison to humans than the mice and rat models, in part because the tumors developed spontaneously, just as in humans. Dogs have been evaluated in a few studies, but rodent research is more common, she said.

"This is a very large, untapped resource for comparative oncology research," Mohammed said. "Unlike laboratory rodents, dogs share a common environment with people and, therefore, may be exposed to some of the same carcinogens. Also, because dogs have a shorter life span than people, it is possible to study mammary lesions and invasive tumors that develop after a few years instead of decades."

Miller, a veterinary pathologist in the Animal Disease Diagnostic Laboratory, said that mammary cancer in dogs is one of the most common forms of cancer studied at the Animal Disease Diagnostic Laboratory.

"We already had hundreds of mammary tumor specimens archived in the diagnostic laboratory," Miller said. "It's a wonderful thing when we're able to collaborate with other departments at Purdue and Indiana University with these specimens. There's so much to be learned from these types of studies."

Tissue samples are kept indefinitely at the Animal Disease Diagnostic Laboratory, but most of the samples in this study were less than a year old, she said. The records kept for each sample provide opportunities for follow up if necessary in future studies.

"Diseases such as this are important to a diagnostic laboratory," Miller said. "Through diagnostic pathology, we gain knowledge that's useful for veterinarians and animals, as well as collecting information that's helpful for people."

The main form of treatment of breast cancer tumors has been surgical removal. Both Mohammed and Miller would like to find out if there is a way to identify the lesion early with noninvasive screening, such as ultrasound or magnetic resonance imaging.

As a next step, Mohammed will determine the prevalence of lesions in dogs with no tumors. In addition, she and Miller are looking at cats, which have a 90 percent malignancy rate when they are diagnosed with breast cancer.

This research was funded by the U.S. Department of Defense.

Writer: Maggie Morris, (765) 494-2432, mohammes@purdue.edu

Sources: Sulma Mohammed, (765) 494-9948, mohammes@purdue.edu

Margaret (Peg) Miller, (765) 494-7456, pegmiller@purdue.edu

Purdue News Service: (765) 494-2096; purduenews@purdue.edu

PHOTO CAPTION:

Sulma Mohammed, associate professor of cancer biology in Purdue's School of Veterinary Medicine, looks at tissue samples to find similarities between canine and human lesions associated with breast cancer. A Purdue study found that dogs make an ideal model to study progression of the disease while it is still treatable. (Purdue News Service photo/David Umberger)

A publication-quality photo is available at https://www.purdue.edu/uns/images/+2007/mohammed-breastcancer.jpg

 

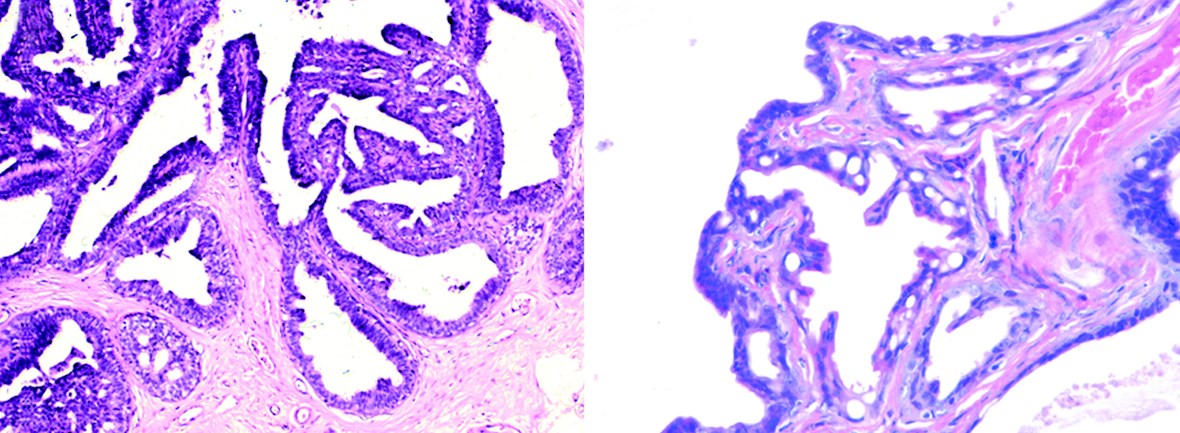
GRAPHIC CAPTION:

These two images are examples of a mammary lesion in tissue surrounding a tumor from a dog (left) and one in human mammary tissue (right). Purdue research shows that the similarity between canine and human lesions associated with breast cancer makes dogs an ideal model to study progression of the disease while it is still treatable. (Graphic of slides provided by Sulma Mohammed, Purdue University School of Veterinary Medicine)

A publication-quality graphic is available at https://www.purdue.edu/uns/images/+2007/mohammed-cancerslide.jpg

 


ABSTRACT

Spontaneous Mammary Intraepithelial Lesions in Dogs: A Model of Breast Cancer

Elisabetta Antuofermo, Margaret Miller, Salvatore Pirino, Jun Xie,
Sunil Badve, and Sulma I. Mohammed

 

Mammary intraepithelial lesions (IELs) are nowadays frequently diagnosed as a result of the success of mammographic screening, education programs, and awareness by women. Establishment of an animal model for these lesions to test treatment or preventive modalities is a prerequisite for human clinical trials. A model for spontaneous IELs, especially for estrogen receptor (ER)-negative lesions, does not exist. This study describes the histologic and immunohistochemical similarity between human and canine mammary IELs. Mammary tumors from 200 dogs were classified and histologic sections of the excisional specimens were evaluated for IELs. IELs, found in specimens from 60  dogs, were categorized as adenosis, sclerosing adenosis, intraductal papilloma, sclerosing papilloma, ductal hyperplasia, atypical ductal hyperplasia (ADH), and ductal c arcinoma in situ (DCIS, high, intermediate, and low grade). Most proliferative IELs without atypia were associated with benign tumors, whereas IELs with atypia (ADH and DCIS) were generally associated with mammary cancer. Estrogen receptor-a (ER-a) expression was significantly low or absent in most ADH and DCIS lesions as well as in their associated tumors. Ki67 expression was significantly higher in high-grade DCIS than in hyperplasia or low-grade DCIS. Two-thirds of high-grade DCIS lesions were positive for HER-2. Canine mammary IELs were strikingly similar to those of the human breast. The frequency of IELs in the dog, their association with spontaneous mammary cancer, their pattern of ER-a and HER-2 expression, and their histologic resemblance to human IELs may make the dog an ideal model to study human ER-negative (both HER-2 positive and -negative) breast cancer progression as well as prevention and treatment.


 

To the News Service home page

If you have trouble accessing this page because of a disability, please contact Purdue News Service at purduenews@purdue.edu.